近日,寿县人民医院心血管内科再次收到患者家属专程送来的锦旗,字里行间满是感激,为科室介入手术团队——这群默默坚守的“铅衣人”,再添一份温情认可。


务工在外的寿县涧沟镇胡先生,因反复胸痛胸闷不适1周,在江苏无锡某医院就诊,当地医院行冠状动脉CTA检查,提示:冠状动脉前降支近段钙化伴重度狭窄,考虑冠心病,建议住院行冠状动脉造影检查,并提示很大可能需要做支架。
胡先生因一人在外地,医保在寿县,在外就医很不便,故让家人来寿县人民医院心血管内科咨询黄文江副主任医师。家属在得知寿县人民医院心血管内科常规开展冠状动脉造影及冠状动脉支架植入等手术后,胡先生立即连夜坐高铁返回寿县,在黄文江副主任医师的安排下住进寿县人民医院心血管内科。
科室治疗组详细询问胡先生病情并组织讨论,制定治疗方案、完善术前检查后,心血管内科介入手术团队对胡先生行冠脉造影检查,结果证实冠状动脉前降支钙化伴重度狭窄(85%以上狭窄),并影响远端血流流速,粗大对角支近段狭窄80%。在胡先生和家属同意下,介入手术团队在前降支成功植入1枚支架后,血管狭窄消失,对角支狭窄处给予冠状动脉药物球囊治疗,血管狭窄明显减轻,病变血流恢复正常,胡先生胸痛胸闷症状得以缓解。手术后,胡先生身体健康状况恢复良好,家人感激不已,随送来一面锦旗以表谢意。

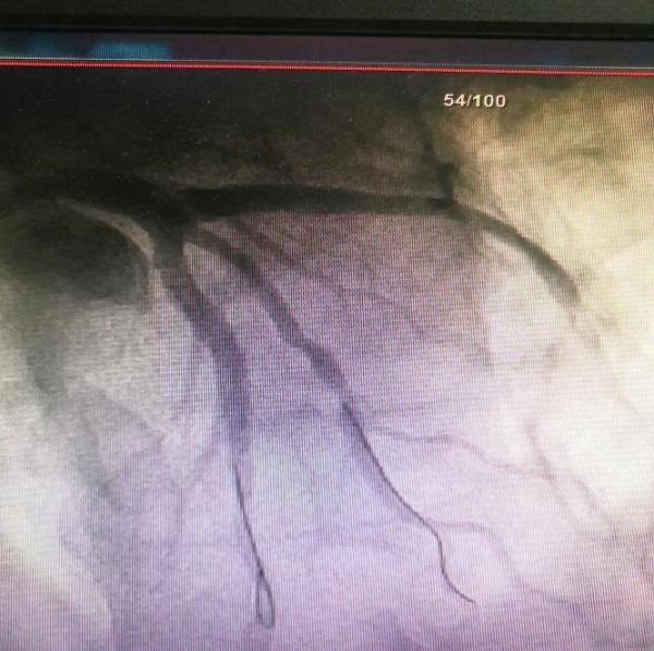
治疗前,前降支和对角支重度狭窄

治疗后,前降支和对角支狭窄明显改善
近一年来,寿县人民医院心血管内科介入手术团队已完成冠状动脉造影术300余例,冠状动脉介入治疗60余例,心脏永久起搏器植入术(单腔、双腔、三腔)10多余例,经导管心脏射频消融术及心内电生理检查共9例,技术水平稳步提升。
目前,寿县人民医院心血管内科常规开展冠状动脉造影术、冠状动脉支架植入术、冠状动脉药物球囊扩张成形术、冠状动脉内溶栓术、心脏永久起搏器、心脏临时起搏器植入术、经导管心脏射频消融术等手术,用专业与担当,为县域内人民群众身体健康与生命安全筑牢坚实防线。
心血管内科联系电话:0554-2766094
(心血管内科黄文江/文|图 宣传科方敏/图|整理 初审:张志明 终审:张玉桥)