近日,寿县人民医院神经内科收到了一面锦旗:“医德高尚暖人心,医术精湛传四方”。送来锦旗的罗女士满怀感激之心来到神经内科住院病区,对医护人员在她爱人陈先生住院期间给予的精心诊疗和细致护理表示感谢。

寿县人民医院神经内科获赠锦旗

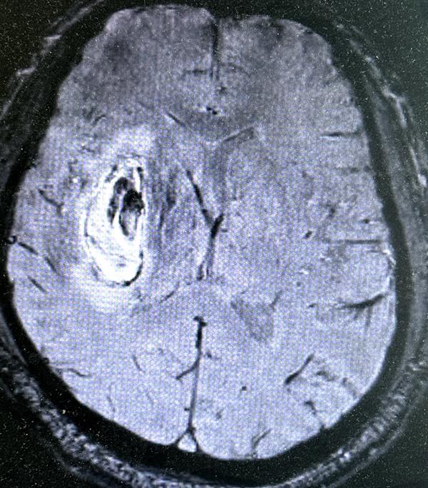
头颅磁敏感检查提示:患者右侧外囊脑出血、右侧尾状荷头部微出血
不久前,陈先生突发头痛伴左侧肢体无力急诊来到寿县人民医院急诊科卒中绿色通道,完善头颅CT检查提示为:右侧基底节区大量脑出血,病情危重。经多学科会诊后,神经内科李多超副主任医师收住至神经内科病房。在住院期间,科室充分评估病情,根据具体情况制定了详细合理的治疗方案,医护人员时刻密切观察病情变化,一天多次查房,根据情况动态复查影像、调整用药方案,并及时完善脑血管评估,明确出血病因,并根据病因制定以后的预防方案。特别是医护人员的一言一行给予了患者和家属莫大的关爱和信心,经过半个月左右的住院治疗,患者平稳度过急性期,顺利进入身体康复阶段,遂在医生指导下出院居家休养。
助患者战胜卒中,再立人生,是寿县人民医院神经内科医护人员的初心,而这熠熠生辉的锦旗饱含着发自内心的“感谢”,更是患者和家属对医护人员医德仁术的最大肯定。科室将以此为动力,更加努力地为每位患者提供更加优质的服务。
脑出血科普知识

(图片来源于网络)
冬季来临,气温陡降,冬季是脑出血的高发季节,寿县人民医院神经内科全体医护人员在此再次提醒大家,多了解点脑出血知识,避免脑出血高危因素,远离脑出血!
脑出血,俗称“脑溢血”也是老百姓常说的“中风”,有着发病突然、变化快、致死、致残率高等特点,让人心生恐惧。对于急性脑出血的患者,时间就是生命。急性脑出血发病主要原因是长期高血压等导致的动脉硬化。绝大多数患者发病时血压明显升高,导致血管破裂,引起脑出血。中老年人是脑出血发生的主要人群,以40—70岁为最主要的发病年龄,但近年有越来越年轻化趋势。大家平时说的脑出血也就是“中风”是指自发性脑出血,患者往往由于情绪激动、费劲用力时突然发病,表现为失语、偏瘫,重者意识不清,半数以上患者伴有头痛、呕吐。发生脑出血,要第一时间送医,否则将有生命危险。
10招预防脑出血,大家要知道。
1、稳血压。早期发现并及时治疗高血压,定期检查,确诊后就应坚持定时定量服药治疗。
2、戒烟酒。酒和烟都能使血管收缩、心跳加快、血压上升、加速动脉硬化。冠心病、高血压患者应戒烟酒。
3、迈开腿。根据自身情况适当锻炼,保持每周至少5次,每次半小时以上的有氧运动,比如太极拳、慢走,慢跑、游泳等运动。具体量力而行。
4、管住嘴。饮食要注意低脂低盐、低升糖指数类食物,少吃动物的脑、内脏,多吃蔬菜、水果,配适量鸡、鸭、鱼肉、蛋。
5、调心态。保持乐观情绪,减少烦恼,悲喜勿过,知足常乐。
6、免劳累。避免体力和脑力劳动过度,超负荷工作可诱发脑出血。
7、防便秘。大便燥结,排便用力,极易使脆弱的小血管破裂而引发脑出血。预防便秘,多吃一些富含纤维的食物,如青菜、芹菜、韭菜及水果等。
8、防跌倒。老年人多有脑动脉硬化,血管壁较脆弱,跌倒后会发生颅内血管破裂的危险。因此,行动时要特别小心。
9、饮足水。要维持体内有充足的水,使血液稀释。平时要养成多饮水的习惯,特别是晚睡前、晨起时,饮1~2杯温开水。
10、勤体检。定期体检,可以及早发现脑血管疾病的高危因素,定期评估脑血管,可以及时干预,及时调整药物,使血压、血糖,血脂、体重等达标,做到早期预防。
(记者团成员孙宏/文、图 宣传科汪瀚甲/图 宣传科张绵林/整理 责编:汪瀚甲 审核:孙自芬)