寿县人民医院骨科根据病情阶梯式诊治膝关节疾病,让患者得到合理治疗,重拾生活信心。
寿县人民医院骨科手术团队为患者行全膝人工关节置换术
膝关节是人体下肢最大的一个承重关节,周围韧带众多,力学结构复杂,负重大,运动多,而关节滑膜面积偏大,且位于肢体较表浅部位,故易损伤与感染,让患者饱受病痛折磨。当保守治疗收效甚微,外科手术即为明确有效的诊治方法。应对早、中期膝关节炎、半月板损伤等疾病,寿县人民医院骨科团队拥有成熟的关节镜技术;对于终末期膝关节炎,科室已常规开展全膝关节置换术,让患者免受外地求医的奔波劳苦。


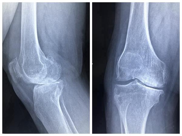
患者右膝关节术前、术后伸屈位放射影像

患者出院前与医护人员合影,点赞骨科医护人员
一位66岁的女性患者,右膝骨性关节炎终末期,经过长期保守治疗无效,深受右膝病痛折磨,坐着轮椅由家人推着入住寿县人民医院骨科。科室主任刘本阳组织医师团队开展讨论,根据患者临床表现,结合多项检查,确定人工膝关节置换为首选治疗方法,并择期手术,为患者成功置换全膝人工膝关节。经过精心治疗护理,患者术后第四天下床活动,术后第七天出院回家康复休养。

寿县人民医院骨科手术团队为患者行关节镜手术,诊断、治疗关节类疾病。
科室介绍
寿县人民医院骨科开放床位37张,现有护理工作人员14人;医生12人,包括副主任医师5人,主治医师5人,住院医师2人,其中,4名医生具有硕士学位。经过多年努力,科室建立了集临床医疗、教学为一体的骨科疾病诊疗服务体系。
诊疗范围:
1、老年性膝关节骨关节病、退行性病变的阶梯性治疗、手术治疗;股骨颈及粗隆间骨折、股骨头坏死等髋关节疾病的手术治疗。
2、老年性骨质疏松及骨折(髋、脊柱、肩)的诊断、微创及手术治疗。
3、微创骨科、关节镜的诊疗。
4、脊柱、四肢的骨与软组织原发性、骨肿瘤的诊断与综合治疗、手术治疗。
5、四肢外伤、骨盆骨折的急诊急救,各部位骨折内固定手术。
6、局部推进及带蒂皮瓣转移修复、取皮植皮术、肌腱血管神经的探查修复。
7、股骨头置换、髋关节置换、膝关节置换术等。
联系电话:0554-2766082
(骨科王超/文、图 宣传科张绵林/整理 责编:汪瀚甲 初审:孙自芬 刘本阳 终审:张玉桥)